매년 발표되는 국가암등록사업 연례 보고서에 따르면 유방암이 암발생 순위 5순위에 들어 상당히 많이 걸리는 것으로 나타났으며 여성에게 있어서는 갑상선암, 대장암, 위암 등을 제치고 가장 많은 암 발병률을 보이고 있습니다. 유방암 역시 세포 이상이 생겨 계속 분열되고 늘어나면서 조직이 증가하는데 이때 커진 조직을 종양이라고 부르는데 유방 내 종양이 생기는 것을 바로 유방암이라고 합니다.



여성이라면 누구나 유방암에 관하여 잘 알고 있는 것이 도움이 될 거 같습니다. 유방암은 남성에 비해 여성에게 많이 나타나며 갑상선 암 다음으로 많이 발병한다고 합니다. 수치로 볼 때 매년 유방암 환자가 늘고 있는 추세지만 그에 대한 정확한 원인은 아직 밝혀진 바 없습니다.
유방암 초기증상은 어떤 것들이 있는지 알아보도록 하겠습니다.
유방암은 유방에서 발생되는 악성 종양 모두를 칭하는 말입니다. 특히 유방 밖으로 종양이 퍼져 다른 장기나 림프절로 전이되고 성장과 증식속도가 빠른 것이 특징입니다. 이러한 유방암의 원인은 정확하게 확인되지 않았으나 유전적 요인과 환경적 요인을 유방암 발병 원인으로 보고 있습니다. 특히나 유방암 환자의 10% 정도는 유전적 요인이 있다고 알려졌으니 가족력이 있는 경우 유방암 검진을 주기적으로 받아보는 것이 좋겠습니다.



유방암 원인
유방암은 흡연, 음주, 비만, 방사선 노출, 스트레스 등으로 불규칙한 식습관과 서양음식의 도입으로 인한 영양 불균형으로 인해 발생하는 질병입니다. 다양한 유형의 암이 있으며 가장 관련이 있고 증가하고 있는 암 중 하나는 특정 유전자의 유전자로 BRCA 돌연변이는 유방암과 난소암의 위험이 매우 높은 것으로 확인되었습니다. 임신과 모유 수유는 유방 조직의 세포 분열 속도를 늦추고 종양 형성 위험을 줄인다는 통계가 나와 있습니다. 따라서 자녀가 없거나 30세 이상의 자녀가 있는 경우 유방암의 위험이 높아진다는 것이 의료계에서 확인되고 있습니다.
유방암 원인 1. 가족력
가장 위험한 요인 중 한가지가 바로 가족력입니다. 여성 가족 중 유방암에 걸린 적이 있는 경우가 그렇지 않은 경우에 비해 무려 7배 이상이나 발병 확률이 높은 것으로 밝혀졌습니다.



유방암 원인 2. 식습관
서구화된 식단도 유방암 발병의 원인 중 하나로 작용하고 있습니다. 전 세계적으로 서구권 여성의 유방암 발병률이 아시아권의 여성들보다 유방암 발병률이 압도적으로 높은 이유도 바로 이러한 서양식 식단인 고지방 식단과 함께 비만이 그 원인이라 하겠습니다.
유방암 원인 3. 피임약
호르몬 성분이 함유되어 있는 피임약 또한 유방암 발병률을 높일 수 있는 위험 요소입니다. 장기간 피임약 복용으로 인한 호르몬 문제로 유방암이 발생할 수 있다고 하는데, 호르몬 성분을 최소화한 피임약이 계속 등장한다고 하더라도 인위적인 호르몬 변화가 우리 몸에 미치는 영향은 어느 정도일지 알 수 없습니다.



유방암 원인 4. 호르몬
초경이 일찍 시작되었거나 폐경이 늦어지는 경우, 늦게 첫 자녀를 둔 경우(30세 이후) 그리고 수유를 하지 않은 여성에서 유방암의 발생 가능성이 높아집니다. 폐경 후 장기적인 호르몬 치료를 하는 경우에도 유방암 발생 위험이 증가하기 때문에 전문의와 상담한 후 처방에 따라 복용기간을 결정해야 합니다.
유방암 원인 5. 음주와 흡연
모든 암의 근원 중 하나인 음주 또한 유방암의 발병 요인 중 하나입니다. 특히 알코올은 여성 호르몬인 에스트로겐에 작용에 영향을 끼쳐 유방암 발병 위험률을 크게 높이게 됩니다. 흡연 또한 유방암에 영향을 미칩니다. 담배의 니코틴과 타르 등 각종 발암 물질은 다양한 암 발병의 주요 요인입니다.
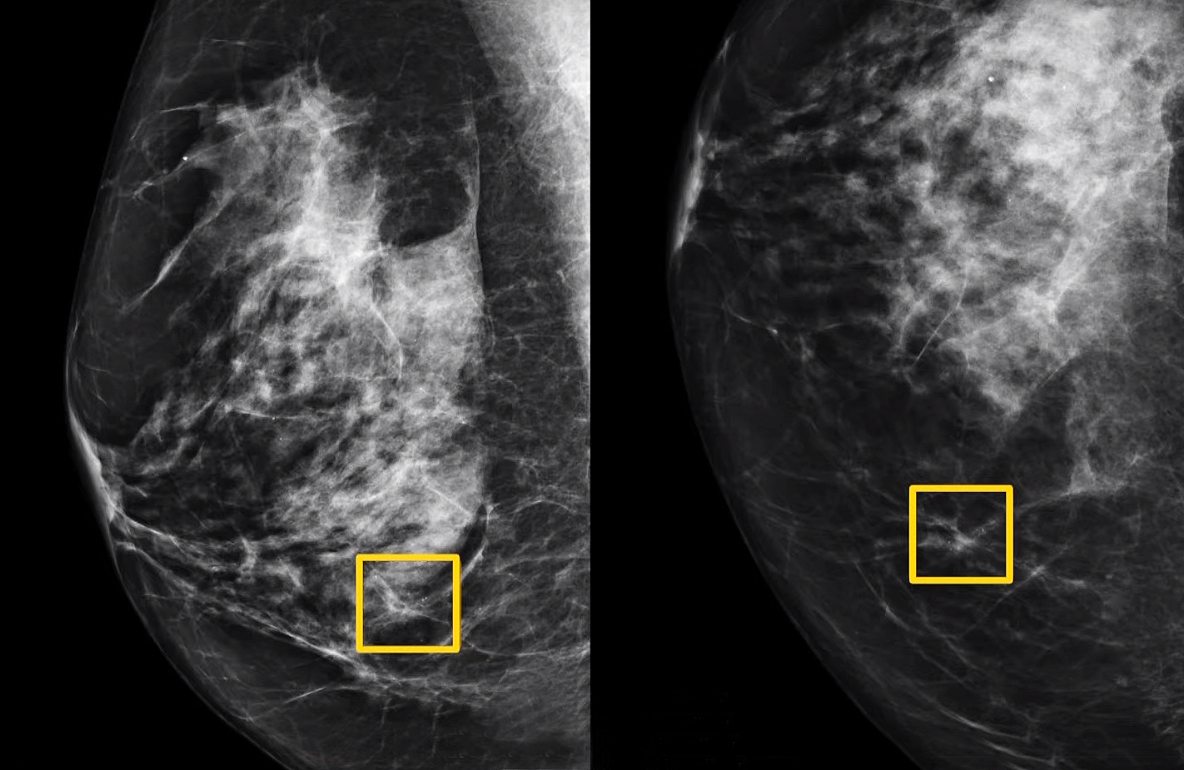
유방암 초기증상
유방암 초기증상 1.유방 멍울(응어리)
유방암 발병자의 90% 정도 멍울(응어리)이 생기는 것으로 알려져 있습니다. 사람에 따라 느낌이 다를 수 있는데 딱딱한 정도로 응어리가 생긴 것으로 암일 경우 점차 커진다고 합니다. 유방암 초기 증상으로 가장 흔한 정상입니다. 양성 질병으로 인한 것도 매우 많다고 합니다. 양성덩어리는 탄력성이 있어서 움직이는 경향이 있지만 유방암 덩어리는 잘 움직이지 않는다고 합니다.
유방암 초기증상 2.유방 모양 변형
유방이 보조개처럼 움푹 패거나 반대로 부풀어 오르거나, 빨갛게 붓거나 모공이 눈에 띄게 오렌지의 껍질처럼 울퉁 불통한 현상이 나타날 수 있습니다.


유방암 초기증상 3. 부종(붓기)
유방암 초기에는 육안으로 구분되어 보이는 증상이 없어 제대로 파악하기가 어렵습니다. 하지만 유방암이 진행되면서 붓기가 생길 수 있습니다. 붓기는 가슴뿐만 아니라 같은 쪽의 겨드랑이나 팔에서도 나타날 수 있습니다. 겨드랑이 아래의 림프절이 암 때문에 부어오르게 되면 우리 몸을 순환하는 체액의 흐름을 차단시키거나 변경해서 붓기를 유발할 수 있습니다.
유방암 초기증상 4. 유방 및 유두 가려움증
유방 및 유두의 가려움증도 많이 나타나는 증상 중 하나입니다. 이 경우는 피부 병변이 가장 큰 원인입니다. 특히 겨울철 건조할 때는 단순 건조증 때문에도 가려운 증상이 나타날 수 있습니다. 이 경우에는 피부 보습제를 충분히 사용해 보시면 증상이 완화되기도 합니다.


유방암 초기증상 5. 피부 변화
유방암의 증상 중 하나는 바로 피부의 변화입니다. 이는 유방암 초기증상일 수도 있습니다. 특히 염증성 유방암의 경우 피부가 오렌지 껍질처럼 거친 질감으로 되거나 가렵고 따끔거리는 증상부터 시작할 수 있습니다. 때로는 발적을 느끼기도 합니다.
유방암 초기증상 6. 유방에서 나오는 분비물
유방암이 의심되는 증상 중 유방 분비물도 있습니다. 대게 일반적인 유방 분비물 같은 경우는 양쪽에서 나오거나, 우유 색깔 또는 맑은 색깔로 나옵니다. 이런 경우 유방암의 가능성보다는 호르몬 불균형, 뇌하수체 종양, 복용하는 약물의 영향 등 여러 가지 원인이 될 수 있습니다.
하지만 유방암이 의심되는 유방 분비물의 증상은 한쪽 유방에서만 나옵니다. 그리고 붉은색, 갈색과 같은 피색깔이 나옵니다. 유방암까지는 아니더라도 유방암으로 발전할 수 있는 유두종 같은 고위험 병변의 가능성 또한 있기 때문에 이러한 증상이 나타날 경우에는 반드시 유방 초음파 검사와 엑스레이 검사를 받으셔서 확실한 병변을 구분하셔야 합니다.


유방암 초기증상 7. 파제트병
유두에만 생기는 파제병이라는 병이 있습니다. 이 병은 유두에만 유방암이 생기는 경우이며, 증상으로는 유두 주변으로 습진이 생기기 때문에 피부가 약간 벗겨지고 진물이 나올 수 있습니다. 유두 쪽 피부에 병변이 생겼을 때는 우선 피부과에 가셔서 필요한 연고를 처방받으시고, 증상이 좋아지지 않을 경우에는 유방전문 병원으로 가셔서 정밀 검사를 받으시는 것이 좋겠습니다.
지금까지 유방암 초기증상에 대해 알아보았는데요.
유방암은 자가진단을 통해 응어리를 발견한다든가 유방 변형 등을 확인할 수 있습니다.
유방암 자가진단 방법은 먼저 거울 앞에 서서 자신의 유방을 유심히 살펴보고 촉진을 통해 확인하는 것입니다. 특히 다음과 같은 사항들을 주의 깊게 관찰해야 합니다.


유방암 자가진단법
1. 멍울 또는 함몰
보통 만져지는 멍울이 있는 곳을 부드럽게 눌러보고 유방을 움직여 함몰된 곳이 있는지 찾아봅니다. 함몰되는 곳이 있거나 유두가 치우친 것이 확인되면 암을 의심해 볼 수 있습니다.
2. 두꺼워진 피부
유방의 피부가 두꺼워져 있거나 오렌지 껍질 같은 모양을 띄고 있다면 림프관이 암에 의해 막혀서 부종이 생기며 땀구멍이 확대되어 피부가 두꺼워진 것일 수 있습니다.
3. 유두의 퇴축과 방향
기존에 탄탄하고 서 있던 유두 모양이 특히 어느 한쪽만 퇴축하거나 방향이 바뀌었다면 암을 의심해볼 수 있습니다.



여성이라면 누구나 걱정하지 않을 수 없는 유방암 초기증상과 원인 자가진단법에 대해서 알아보았습니다. 모든 병은 생활과 식습관이 가장 중요하다는 생각이 듭니다. 건강한 식습관을 들이고 적절한 운동을 통해 건강한 생활 할 수 있으면 좋겠습니다.
2023.02.27 - [건강상식] - 콜라비 효능 부작용 총정리
콜라비 효능 부작용 총정리
동그란 모양에 보라색을 띤 콜라비는 양배추와 순무의 교배로 만들어진 채소입니다. 양배추의 달콤함과 순무의 아삭함의 장점을 모두 갖추고 있는 것이 특징입니다. 콜라비는 북부 유럽일대가
treestalk.arriblog.com
2023.01.10 - [분류 전체보기] - 목디스크 증상과 원인 치료법 총정리
목디스크 증상과 원인 치료법 총정리
요즘 스마트폰 사용과 바르지 못한 자세로 책상에 앉아있는 시간이 길어지면서 허리뿐 아니라 목디스크 환자도 많이 늘어나는 추세입니다. 목디스크는 목 쪽 척추인 경추와 경추 사이에 위치한
treestalk.arriblog.com
2022.12.22 - [건강상식] - 비타민B 효능 총정리
비타민B 효능 총정리
사람들은 살면서 다양한 영양소를 필요로 합니다. 그중 하나로 많이 알려진 영양소에 비타민이 있는데요 남녀노소 불문하고 비타민 챙겨드시는 분들이 많이 계십니다. 영양 보조 역할과 함께
treestalk.arriblog.com
댓글