족저근막염 증상, 치료법, 원인 총정리
발은 평생을 온몸의 체중을 지탱하며 버티고 걷고 달리고 하는 모든 일상생활에서 많이 쓰이고 있지만 그리 신경 쓰지 않는 신체부위 중 하나가 아닐까 생각됩니다. 발에 모든 건강이 있다 할 정도로 발의 건강이 참 중요합니다.
이런 발에 통증이 나타난다면 바로 걷고 서는 것부터가 힘들어져 생활의 상당한 불편을 가져오게됩니다.
이에 해당하는 질병이 바로 족저근막염입니다.





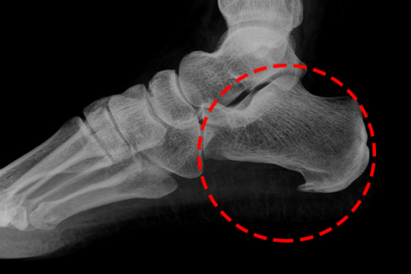
족저근막은 발바닥의 두꺼운 섬유질 막으로 발의 아치를 형성하고 걸을 때 발을 강력하게 지지해줍니다. 걸으면서 발뒤꿈치를 올리면 발뒤꿈치의 족저근막 부착 부위에 높은 장력이 가해집니다.
특히 달리기와 같은 활동 중에는 더 높은 장력이 가해져서 족저근막 부착 손상의 위험이 증가하게 됩니다. 족저근막염은 가벼운 부상이나 과도한 사용으로 인한 염증으로 발뒤꿈치와 발바닥에 통증을 일으키는 질환입니다. 아침에 일어나서 방바닥에 발을 딛는 순간 통증으로 깜짝 놀라는 경험을 해보신 적이 있다면 족저근막염 증상을 의심해봐야 합니다.
오늘은 족저 근막염 원인과 증상, 치료법에 대해 알아보겠습니다.
족저근막염은 외부 요인에 의해 갑자기 발생하는 것이 아니라 서서히 증상이 진행되는 것을 볼 수 있습니다. 발뒤꿈치 중앙보다 약간 앞으로 뻗어 있으므로 내측에서 발생하고, 아침에 일어나거나 오래 앉아 있다가 갑자기 일어날 때 강도가 높게 나타납니다. 잠을 자거나 앉는 것처럼 몸이 이완된 상태에서 움직이면 갑자기 늘어나 통증이 오게 됩니다.
통증은 일반적으로 발뒤꿈치 안쪽과 바닥에서 느껴집니다.



남성보다 여성에게서 2배 정도 더 많이 발생된다고 하며, 특히 근육이 덜 풀린 아침 시간 대는 보행 시 날카롭고 바늘로 찌르는 듯한 심한 통증을 느끼게 된다고 합니다. 그러나 아침 시간 대를 지나 오후에 접어들면서 어느 정도 통증은 서서히 감소하기 시작한다고 합니다. 초기 증상이 나타난다면 반드시 전문의를 찾아 조기에 치료하는 것이 바람직합니다.
족저근막염 원인
발바닥에 비정상적으로 심한 충격이나 지속적인 충격이 발생했을때, 예를 들어서 하이힐을 신고 장시간 걷기, 과도한 운동, 무리한 등산 등이 이에 해당됩니다. 발바닥에 강하고 지속적인 자극으로 인해 근육의 피하 막내 염증반응이 일어나 통증을 유발하게 됩니다.



결국 족저근막에 반복적인 손상이 발생하고 이에 따라 염증이 발생했을 때 나타나는 질환이기 때문에 다양한 원인이 있을 수 있습니다. 평발도 원인이 될 수 있고, 요족도 이 질환의 원인이 되는데 그 이유는 아치가 정상보다 낮거나 높기 때문입니다. 참고로 평발과 요족도 치료가 가능한 질환입니다. 간혹 평생 안고 살아야 하는 질환이라 생각을 하시는 경우가 많은데, 전혀 그렇지 않습니다.



이 외에도 다리 길이의 차이가 있으신 분들에게도 발생할 수 있으며 발의 과도한 회내 변형, 하퇴부 근육의 구축이나 약화 역시도 원인이 될 수 있습니다. 하지만 요즘에는 발의 무리한 사용이 원인이 되어 발생하는 빈도가 점차 높아지고 있는 추세입니다. 물론, 평소에 운동을 전혀 하지 않던 분들이 갑작스럽게 운동을 할 때에도 발생할 수 있습니다. 이 외에도 장거리를 뛰어야 하는 마라톤, 잘못된 신발의 사용 등 비정상적으로 부하가 가해질 수 있는 모든 문제가 원인이 될 수 있습니다.
갑작스러운 체중증가 또한 발에 부하를 주게 되므로 염증을 일으켜 통증의 원인이 되기도 합니다.
족저 근막염 증상
족저 근막염 증상으로 80%이상은 한쪽 발의 통증을 호소하고 있습니다. 대부분 사람들이 양쪽의 발을 사용하기보다 한쪽 발을 더 많이 사용하는 습관 때문입니다. 이유는 사람들의 양쪽 다리 길이가 다르며, 더 긴 쪽 다리의 발에 더 많은 압력이 가해지기 때문입니다. 그렇기에 한쪽 발 통증이 나타날 수 있습니다.
족저 근막염은 아침에 통증이 잘 생깁니다. 통증이 발생하는 원인은 수면 중에는 근막이 짧아지기 때문에 잠에서 깨어 걷게 되면 근막이 다시 늘어나면서 통증이 유발됩니다.



족저근막염은 아래와 같은 증상으로 스스로 진단해 볼 수 있습니다.
- 아침에 일어나서 몇발짝 걸었을 때 찌릿한 심한 통증을 느낀다.
- 발 뒤꿈치 안쪽의 심한 통증을 느낀다.
- 발 아치 중앙에 심한 통증이 있다.
- 앉았다 일어서면서 걷기 시작했을 때 발 뒤꿈치에 심한 통증을 느낀다.
- 발 뒷꿈치에 덩어리가 느껴지고 만졌을 때 통증이 있다.
- 발과 발가락 사이 경련 증상이 있다.
위와 같은 증상이 느껴지신다면 빨리 병원 진료를 받으시기 바랍니다.



족저근막염 치료
1. 비수술적 치료
환자의 90% 이상이 보존적 치료로 회복되며 수술이 거의 필요하지 않습니다. 족저근막은 밤새 수축했다가 아침에 빠르게 늘어나 통증을 유발합니다. 족저근막염 보조기로 족저근막을 밤새 늘여두면 증상을 완화할 수 있습니다. 약 1주일 정도 보조기를 착용하면 증상이 가라앉습니다. 2~3개월 꾸준히 착용하면 완전히 나을 수 있습니다.
통증이 매우 심한 급성기에는 족저근막 패치와 실리콘 재질의 힐컵을 함께 사용하는 것이 효과적입니다. 족저근막과 아킬레스건을 지속적으로 스트레칭하거나 마사지 및 조영제 목욕과 같은 물리 요법과 병행하면 결과를 개선할 수 있습니다.



올바른 신발을 선택하는 것도 중요합니다. 너무 꽉 끼는 신발은 피해야 합니다. 너무 낮은 굽이나 너무 단단한 발바닥은 족저근막염 증상을 악화시킬 수 있습니다. 헐렁하고 약간 굽이 높은 모카신을 착용하는 것을 권장합니다. 발이 굽은 지 평평한지 여부에 따라 발 보조기가 추가로 처방될 수 있습니다.
스테로이드 주사 요법은 치료를 충분히 한 후에도 증상의 호전이 없을때 사용하게 됩니다. 발뒤꿈치의 지방층이 위축되지 않도록 주사할 때 주의를 요합니다. 반복적인 주사는 근막을 손상시킬 수 있습니다.
과체중인 경우 체중을 감량하면 통증이 감소할 수 있습니다.
2. 수술 치료
비수술적 치료로 대부분 족저 근막염 증상이 나아질 수 있지만 일부 환자는 수술이 필요한 경우가 있습니다. 수개월간의 비수술적 치료를 했음에도 발 통증이 계속되면 수술을 고려해봐야 하는데요. 수술을 통해 족저 근막을 늘려주는 방법을 고려해 볼 수 있습니다. 최근 관절경을 이용하여 족저 근막 절개술을 시도하기도 하는데 수술적 치료의 성공률은 70~90%로 높게 알려져 있다고 합니다. 하지만 수술 후 신경 손상 등의 합병증이 유발될 수 있으므로 잘 알아보고 수술을 결정하시는 게 좋겠습니다.



족저 근막염 스트레칭
스트레칭의 경우에는 발의 아치를 골프공이나 마시볼을 사용해서 마사지해 주거나 엄지발가락을 크게 위로 들었다 내리는 방법으로 근육을 해소해 주고, 앉아서 수건으로 발바닥 감은 후 무릎을 쭉 편 자세로 수건을 이용해 발을 몸 쪽으로 잡아당겨 10~30초를 유지하고 이를 반복하여 스트레칭을 계속해서 해준다면 족저 근막염으로 인한 발바닥 통증을 완화할 수 있어 좋습니다.
발바닥 아치 운동도 약해진 발바닥의 근막을 강화시켜주는데 도움이 됩니다.
지금까지 족저 근막염 원인과 증상 치료법까지 알아보았습니다.
생활에 불편을 초래하는 질병이 없어야겠지만 혹시나 생긴다면 참고하시어 조기에 치료할 수 있으면 좋겠습니다.
2023.02.03 - [분류 전체보기] - 청국장 맛있게 끓이는 방법 구수하게 맛있게
청국장 맛있게 끓이는 방법 구수하게 맛있게
청국장은 구수하고 깊은 국물 맛에 건더기 풍부한 청국장이 으스스한 몸을 따뜻하게 녹여주고 영양까지 가득 채워줍니다. 청국장은 특유의 냄새 때문에 꺼리시는 분들도 많지만 한번 먹으면 냄
treestalk.arriblog.com
2022.12.21 - [건강상식] - 글루타치온 효능 부작용 총정리
글루타치온 효능 부작용 총정리
글루타치온에 대한 관심이 높아지고 있는데요. 방송에서도 많이 언급되고 있는데 글루타치온이 무엇인지, 또 글루타치온 효능 부작용에 대해 알아보고자 합니다. 글루타치온은 글루탐산, 글리
treestalk.arriblog.com
2022.12.24 - [건강상식] - 단백질 많은 음식 13가지 총정리
단백질 많은 음식 13가지 총정리
건강에 대한 관심이 높아지면서 단백질 많은 음식을 비롯한 고단백 저탄수화물 식단의 인기가 높아지고 있습니다. 단백질 위주로만 식단을 구성하는 것은 문제가 될 수 있지만, 적절히 단백질
treestalk.arriblog.com