파킨슨병은 움직임에 영향을 미치는 진행성 신경계 장애입니다. 나이가 들면서 발생할 수 있는 병 중 하나입니다.
19세기에 파킨슨이라는 영국의 의사에 의해 발견되었는데 당시에는 이 병이 크게 위험하다고 보지 않고 무시되어 의학계에 보고가 되었지만 주목을 받지 못하였습니다. 이 병은 신경과 관련된 병으로 오랜 세월이 흘러 프랑스의 한 신경과 의사가 재발견하여 파킨슨 의사의 본명을 따서 파킨슨병이라고 부르게 됐다고 합니다.






대표적인 퇴행성 뇌 질환인 파킨슨병은 중간 쪽 뇌에 위치해 있는 흑질이라는 뇌의 특정부위에서 도파민을 분비하는 신경세포가 원인을 알 수 없이 점점 사라져 가는 질환으로 서동증과 안정 시 떨림, 근육 강직, 자세의 불안정과 같은 증상들이 나타나게 됩니다. 따라서 이 세포들이 어떠한 이유로 죽게 되는지 그 이유에 대해서는 많은 연구가 진행 중이나 아직 확실한 결론을 얻지는 못하고 있는 실정이라고 합니다. 그리고 이 원인이 되는 뇌신경세포는 미상핵과 피각으로 불리는 두 부위로 신경섬유를 연결하고 있는데 대뇌 안에 깊게 위치하고 있다고 합니다.
파킨슨병과 치매는 매우 비슷한 뇌질환입니다. 그 차이는 운동 기능에서 드러나는 차이가 가장 큽니다. 파킨슨병은 운동 기능에 문제가 먼저 나타나고, 병변이 뇌의 깊숙한 공간에서 뇌의 겉면까지 퍼져서 인지 기능장애가 생긴다는 것이 특징입니다.
반면, 치매는 초기에 파킨슨병과 비슷한 형태를 보이기는 하지만, 치매의 경우에 인지 기능 장애를 먼저 나타나다가 병변이 뇌 표면에 깊숙한 곳으로 들어가면서 운동장애가 동반됩니다. 치매는 기억력이 많이 저하되지만, 파킨슨병은 생각하는 속도가 더딜 뿐 기억력 자체에서는 큰 차이를 나타내지 않는 것이 큰 특징입니다.



파킨슨 병은 몸 전체가 느리지고 떨리는 증상을 가지고 있어 손이 떠는 증상과 근육 경련 등에 이유로 파킨슨병인지 많은 분들에게 혼동이 오는 경우가 많이 있습니다. 이러한 손과 발이 떨리고 경련 등이 나타나는 이유는 마그네슘 부족으로 인해 근육이 수축과 이완이 되는 것이 잘 되지 않아 발생될 수 있는 증상이며 수전증 증의 특징은 수저질을 했을 때 혹은 연필이나 볼펜으로 필기를 할 때 즉 손에 힘을 가했을 때 떨림 증상이 유독 심한 것이 특징입니다.



파킨슨병 발병시기
파킨슨 병은 노년층 60세 이상 나타나는 것이 특징입니다. 유전적인 요인 외에도 음주, 흡연 등 혹은 기름지고 짠 음식 등을 자주 섭취하게 되어 면역력 이상 반응 또는 몸에 호르몬 불균형 이상으로 나타나게 됩니다. 또 나이가 들어감에 따라 활동력이 떨어져 몸 전체의 대사능력이 떨어지게 되면 여러 가지 병들이 발생되는 요인이 될 수 있습니다.
사회 고령화가 빠르게 진행되고 있어 파킨슨 병이 발병 확률이 증가하고 있는 추세이며 현대 사람들은 운동을 잘하지 않는 생활습관 또는 고칼로리 음식 섭취 등도 이유로 볼 수 있습니다.



파킨슨병의 초기증상은 무기력증과 만성피로가 흔하게 보인다고 합니다. 우리가 일상생활에 조금 피곤하거나 스트레스로 우울증을 앓는 분들은 이런 생활이 지속되면 무기력증이 오게 되기도 합니다. 대부분의 파킨슨병 초기 증상이 무기력증과 만성피로인지를 모르고 지나치거나 정말 일상생활이 불편할 정도로 무기력이 오면 그때야 병원을 찾게 됩니다.
대표적인 증상으로써는 손떨림과 행동이 느려지고 근육이 뻣뻣해지고 상체가 앞으로 기우는 현상과 자세가 불안정해지는 증상 등 여러 가지로 나타납니다. 이러한 증상이 있음에도 자연적인 현상으로 알고 파킨슨병 초기증상을 무시하게 됩니다.



파킨슨병 초기증상에 대해 자세히 알아보도록 하겠습니다.
파킨슨병 초기증상
파킨슨병 초기증상 1. 서동
파킨슨병 초기증상으로 행동이 느려집니다. 단추를 끼우거나 글씨를 쓰는 작업과 같이 미세한 움직임이 점점 둔해집니다. 눈 깜박임, 얼굴 표정, 걸을 때 팔 움직임, 자세 변경 등의 동작 횟수와 크기가 감소한다고 합니다. 많은 경우에 환자 본인은 잘 인지하지 못하고 주위 사람에게 지적을 받아야 비로소 알게 되는 경우가 많습니다.
파킨슨병 초기증상 2. 우울증 현상
파킨슨병이나 알츠하이머병을 앓고 있는 사람들의 약 50%가 우울증도 경험합니다. 이것은 이 상태의 자연스러운 부분이며 토파민과 세로토닌 생성에 필수적인 뇌 세포가 점점 더 손실됨에 따라 악화될 수 있습니다.



파킨슨병 초기증상 3. 수면 불안
파킨슨병 환자의 대다수가 앓고 있는 수면불안 문제는 발생하기 5년 전부터 잠버릇이 이상하게 변경되고, 다양한 수면 불안 문제가 발생하게 된다고 합니다.
이것을 렘수면 행동장애라고 칭하는데, 이는 수면을 하는 중에 꿈에서 한 행동을 실제 행동으로 나타내는 것입니다. 약한 경우에는 잠꼬대나 소리 지르는 경우이지만 심한 경우 발길질이나 주먹질을 하는가 하면 꿈의 상황처럼 실제 걸어 다니는 증상을 보이는 경우도 있다고 합니다.
평소에 수면 중에 이러한 증상들이 하나도 없었는데, 어느 순간부터 꿈을 꾸면서 팔다리가 움직이거나 자면서 옆 사람을 타격하는 이상한 잠버릇이 나타나면, 렘수면 행동장애를 의심해 보는 것도 좋겠습니다.



파킨슨병 초기증상 4. 표정의 변화
파킨슨병의 초기 증상으로 고통받는 경우 얼굴에 나타날 수 있으며 항상 원하는 만큼 친절하게 보이지 않을 수 있습니다.
파킨슨병 초기증상 5. 움직이거나 걷는 데 문제가 있음
보행기를 사용하는 몸, 팔, 다리에 뻣뻣함을 느끼게됩니다. 걸을 때처럼 팔이 흔들리지 않는다는 것을 다른 사람들이 알아차릴 정도가 됩니다. 움직이면 뻣뻣함이 사라지는 경우가 있습니다. 그렇지 않으면 파킨슨병의 징후일 수 있습니다. 초기 징후는 어깨나 엉덩이의 뻣뻣함이나 통증일 수 있습니다.



파킨슨병 초기증상 6. 변비 발생
변비 발생은 파킨슨병의 초기증상 중에서 가장 먼저 나타나는 증상인데, 무려 10년 전부터 나타나게 된다고 합니다. 특히, 뇌간 중에서 가장 밑 쪽에 위치한 부분에 파킨슨병을 발생시키는 이상 단백질이 누적되어서 미주신경핵을 침입하게 되는데, 장의 움직임에 영향을 줘서 변비를 일으키게 되는 원리라고 합니다.
간단하게 말해서, 뇌가 손상되기 전에 먼저 대장이 파킨슨병에 노출된다는 의미입니다. 분명히 평소에 식이섬유가 많이 들어있는 채소 위주의 식사를 했는데도, 지속적으로 변비가 악화된다면 파킨슨병을 의심해보는 것이 좋겠습니다.



파킨슨병 초기증상 7. 인지 기능 저하
전체 환자의 40% 정도에서 인지 기능 저하가 동반됩니다. 파킨슨병 환자가 겪는 치매 증상은 알츠하이머병에서 나타나는 치매와 양상이 다르게 나타납니다. 환시를 겪기도 하고, 인지 기능 저하 증상의 기복이 심할 수 있습니다. 약에 대해 과민 반응을 보이는 경우도 있지만 현실적으로 인지 기능을 완치할 수 있는 치료는 없다고 합니다. 그러나 적절한 약물 요법으로 도움을 받을 수 있습니다.
파킨슨병 초기증상 8. 낮은 목소리
다른 사람들이 당신의 목소리가 작거나 목이 쉬었다고 느낄 수 있습니다. 목소리에 변화가 있는 경우 파킨슨병일 수 있는지 의사와 상의해야 합니다. 목소리가 작아지는 이유를 청력을 잃어가는 것으로 착각할 수도 있습니다.



파킨슨병 초기증상 9. 구부정한 자세
목, 허리, 팔꿈치, 무릎 관절이 구부정하게 구부러진 자세가 됩니다. 또 몸의 자세를 유지하지 못하고 잘 넘어지게 됩니다. 파킨슨병의 초기에는 드물지만, 병이 진행되면서 많은 환자들에게 나타나게 됩니다.



파킨슨병 진단 방법
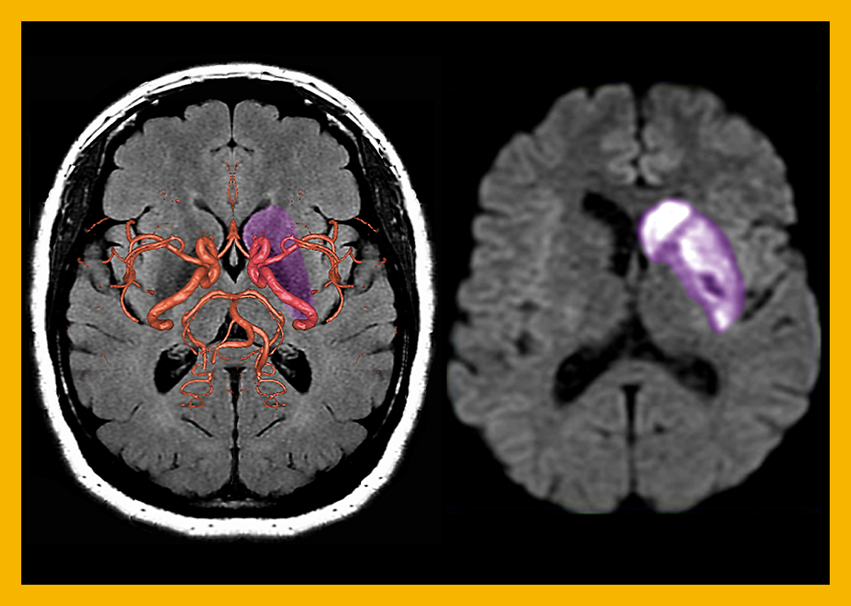
파킨슨 병이 진단 방법은 환자를 직접 보고 관찰 후 임상적인 진단을 하는 것이 대표적인 방법입니다. 하지만 꼭 MRI 찍어야 되는 경우도 있게 되는데요. 그 이유는 "비전형적인 파킨슨증"과 "수두증" 혹은 "2차적인 파킨슨증" 외 철분 침착과 같은 증상이 있는지 또는 뇌에서 특징적인 뇌 취축 증상이 있는지 확인하기 위함으로 MRI 찍는 경우도 있습니다.
현재까지는 파킨슨 병을 예방 하는 방법은 없으며 치료 과정 또한 자가로 하는 방법은 현재까지 나와 있지 않습니다. 그렇기 때문에 유사 증상이 있다면 정밀한 검사를 통해 상황에 따른 치료를 받는 것이 매우 중요합니다.



파킨슨병 예방과 유발하는 약
현재까지는 파킨슨 병을 예방하는 방법은 명확하게 나와 있는 것은 없습니다. 단지 잘못된 식습관과 운동부족 등이 오래 지속되면 점차 호르몬의 변화 대사능력 저하 등으로 몸에 균형이 깨지게 되면 나타날 수 있다고 합니다. 그 외 일상생활에서 소화가 잘 안 될 때 복용하는 소화제 중 "메토클로프라미드"와 "레보설피리드" 같은 소화제 약재들은 "약물 유발성 파킨슨증" 혹은 "2차성 파킨슨증"을 유발할 수 있습니다
파킨슨병 초기증상 치료
파킨슨병을 치료방법은 신경과 전문의를 방문하여 먼저 검사부터 받아야 합니다. 파킨슨병이라는 진단명이 나오면 치료가 시작되는데 치료가 한 두달로 끝나는 것이 아닌 오랜 기간 동안 주기적으로 치료를 받아야 합니다. 뇌과 신경과 연결된 파킨슨병은 회복의 속도가 매우 느리며 치료를 해서 좋아졌더라도 하루라도 잘못하여 재발이 되면 초기 증상 때처럼 처음으로 돌아가는 경우도 많습니다. 또한 완치 목적보다 약물로 부족한 도파민을 보충해 주는 방법으로 환자가 일상생활에 큰 불편이 없게 도와주는 치료라고 볼 수 있습니다. 건강한 음식관리와 운동을 병행해서 느긋한 마음을 가지고 병을 완화시키는 것이 좋다고 할 수 있습니다.



지금까지 파킨슨병 초기증상과 치료, 진단방법 등에 대해 알아보았습니다.
2023.02.06 - [분류 전체보기] - 통영 가볼만한곳 베스트10 추천
통영 가볼만한곳 베스트10 추천
날씨가 조금씩 풀리고 있는 것 같습니다. 겨울내 움츠려있으니 다니기도 힘들었었는데 이제는 집에만 들어앉아 있기는 답답하고 주말 가족들이랑 드라이브라도 다녀오고 싶기고 하고 그렇습니
treestalk.arriblog.com
2023.01.16 - [요리] - 잡채 맛있게 만드는 방법 쉬워요
잡채 맛있게 만드는 방법 쉬워요
명절에 식구들 모일 때나 생신상 손님맞이 음식을 차릴 때 잡채는 꼭 빠지지 않고 올라가는 음식입니다. 손도 많이가고 해서 평소에는 잘 만들어 먹지 않게 되는 중 하나가 바로 잡채인데요. 오
treestalk.arriblog.com
비지찌개 끓이는법
비지찌개도 추운 날 금방 뚝딱 한 그릇 끓여내기 쉬운 음식 중 하나입니다. 구수한 콩비지를 넣어서 끓여내면 담백한 맛이 일품일 뿐 아니라 속까지 든든하게 채워줄 수 있는 건강음식입니다.
treestalk.arriblog.com
'건강상식' 카테고리의 다른 글
| 족저근막염 증상, 치료법, 원인 총정리 (0) | 2023.04.03 |
|---|---|
| 강박증 종류 원인 치료 총정리 (0) | 2023.03.28 |
| 딸기 효능 부작용 알아보기 (0) | 2023.03.23 |
| 노니 효능 부작용 총정리 (1) | 2023.03.20 |
| 아스퍼거 증후군 증상 알아보기 (1) | 2023.03.18 |
댓글